ご予約はコチラ

診療時間
9:00~13:00/14:30~18:00
休診日
木曜、日曜、祝日 ※祝日のある週は木曜診療あり

歯周病と全身疾患との関わり

歯周病と全身疾患との関わりとは

  • 歯周病は、歯周病菌の放出する毒素によって歯を支える組織である歯肉や歯槽骨に炎症が生じる病気です。多くの場合、初期には痛みなどの明確な症状が現れにくく、病気が進行すると歯が揺れるようになり、最終的には歯が失われる恐れがあります。
    一般的な症状には歯肉の腫れや出血があり、歯槽骨の炎症が進むこともあります。歯周病を放置すると、炎症がある歯周組織が継続して細菌や毒素を生成し、その結果として糖尿病や心疾患、低体重での出産、誤嚥性肺炎など、他の健康問題を引き起こす可能性が高まります。
    このため、歯周病は早期に発見して予防と治療を行うことが極めて重要です。適切な対策を講じることで、歯周病の進行を防ぎ、さらに広範な健康リスクを避けることができます。

  • 歯周病と心臓疾患・脳血管疾患

    歯周病の影響は、口腔内だけにとどまらず、全身の健康状態にも波及します。特に、心臓疾患や脳血管疾患への影響については、科学的研究でその関連が明らかにされているので特に注意が必要です。

    • 狭心症・心筋梗塞

      狭心症や心筋梗塞は、心臓への血液供給が妨げられることで引き起こされます。歯周病の存在は、感染源から放出される細菌や炎症因子が血液を通じて全身に広がり、特に心臓の血管で炎症を引き起こし、動脈硬化を促すことにより、これらの病状と関連があります。

    • 脳梗塞

      脳梗塞は、脳の血流が阻害されることで起こります。歯周病による細菌が血管内で炎症を引き起こすことが、脳血管の狭窄や閉塞を促し、脳梗塞のリスクを高めると考えられています。これらの炎症は脳内でプラーク形成や血栓を促進し、脳血流の障害を引き起こす可能性があります。

    • 他の心疾患・
      脳血管疾患への影響

      心不全や不整脈といったその他の心疾患や、脳内出血などの脳血管疾患においても、歯周病が潜在的なリスクファクターとして認識されています。炎症を促進するサイトカインやその他の炎症物質が循環系を通じて全身に拡散し、心臓や脳の健康に負の影響を及ぼす可能性があります。

  • 歯周病と糖尿病

    歯周病と糖尿病は、相互に影響を及ぼすことが認識されています。糖尿病を持つ方々は、歯周病を発症するリスクが高く、歯周病は糖尿病の管理をより複雑にします。

    • 歯周病菌の内毒素と
      糖尿病との相互作用

      歯周病は口腔内の細菌が引き起こす炎症性の病気です。これらの細菌が生成する内毒素が歯肉を通じて血流へと入り、体全体に影響を与えることがあります。特に、これらの毒素はインスリンの機能に干渉し、糖尿病の血糖コントロールを難しくさせることがあります。このような相互作用は、糖尿病患者の血糖値を不安定にし、合併症を悪化させるリスクを高める可能性があります。

    • 歯周病が糖尿病の
      管理に与える影響

      糖尿病を持つ方々は免疫機能の低下により、歯周病を発症しやすく、また症状が重くなりやすいです。歯周病が進行すると、継続する炎症がインスリン抵抗性を引き上げることがあります。このため、歯周病が存在すると、糖尿病の血糖管理がさらに難しくなるのです。しかし、血糖値が適切に管理されている糖尿病患者は、歯周病の進行を防ぐことが可能です。

  • 歯周病とその他の全身疾患

    • 呼吸器疾患

      歯周病が進行すると、口腔内の細菌数が増えます。これらの細菌や排出される物質は呼吸によって気道に入ることがあり、特に慢性閉塞性肺疾患(COPD)を持つ方々にとっては、これが症状を悪化させる要因となり得ます。これらの細菌が肺に達すると、感染症や炎症を誘発し、既にある呼吸器の問題を悪化させるリスクが高まるのです。

    • 早産や低体重児出産

      妊娠中の女性が歯周病を持っていると、早産や低体重児を出産するリスクが上がることが確認されています。歯周病関連の細菌や炎症性物質が胎盤を通じて胎児に影響を与え、早産の引き金になることがあります。これは、炎症が子宮内の環境を変えてしまうためです。

    • 骨粗しょう症

      歯周病と骨粗しょう症は相互に関連があります。歯周病が進むと、歯槽骨が破壊され、これが骨密度の低下と関連していることがあります。骨粗しょう症の患者は、全身の骨密度が低いため、歯周病が進行しやすくなります。

    • アルツハイマー型認知症

      最近の研究で、歯周病がアルツハイマー型認知症の発症リスクを増加させる可能性が示されています。歯周病の細菌が脳に達し、脳の炎症を誘発し、それが認知機能の低下を促進すると考えられています。これは、炎症が脳内の神経細胞に直接ダメージを与えることが原因です。

歯周病と口臭の関わり

  • 歯周病が進行すると、口の中はさまざまな変化に直面します。
    その1つが、不快な臭いの発生です。
    この口臭には主に2つの原因が関連しています。

  • 歯周病の臭いの原因

    歯周病菌が発生させるガス
    歯周病が進むにつれて、歯周ポケットに細菌が増加し、これらの細菌がプロテインを分解する過程で発生するガスが口臭の大きな要因になります。特に、硫化水素やメチルメルカプタンといった揮発性硫黄化合物(VSC)は強烈な臭いを放ち、硫化水素は腐敗した卵のような臭い、メチルメルカプタンは腐ったキャベツやにんにくのような臭いが特徴です。
    歯周病の進行による
    歯槽膿漏
    歯周病が進行すると、歯槽膿漏が発生しやすくなります。この状態では、歯を支える骨が破壊され、歯肉が後退して深いポケットが形成されます。これらのポケットに食べ物の残渣が溜まりやすくなり、細菌が増え、歯肉の出血と混ざり合って膿を形成します。この膿が放つ腐敗臭が口臭をさらに悪化させます。
  • 歯周病による口臭の特徴

    歯周病が進むと、口腔内からは特定の不快な臭いが発生し始めます。
    この臭いは歯周病の進行と共に様々な種類が現れ、
    それぞれ特定の化合物によって引き起こされます。

    • 硫化水素の臭い

      硫化水素は、歯周病の原因となる細菌がタンパク質を分解した際に発生するガスで、腐った卵のような非常に強い臭いが特徴です。このガスは歯周病の口臭でよく感じられるものであり、口腔内の健康が損なわれていることの1つの指標となり、歯周病の進行度を示唆します。

    • 腐ったタマネギ、腐った卵、
      生ゴミのような臭い

      腐ったタマネギや卵の臭い、または生ゴミに似た臭いは、硫化水素だけでなくメチルメルカプタンやその他の揮発性硫黄化合物が原因で生じます。メチルメルカプタンは非常に強烈な臭いを放ち、これらの化合物は歯肉の深い部分に存在する細菌の活動によって生成され、口臭の主な原因となります。

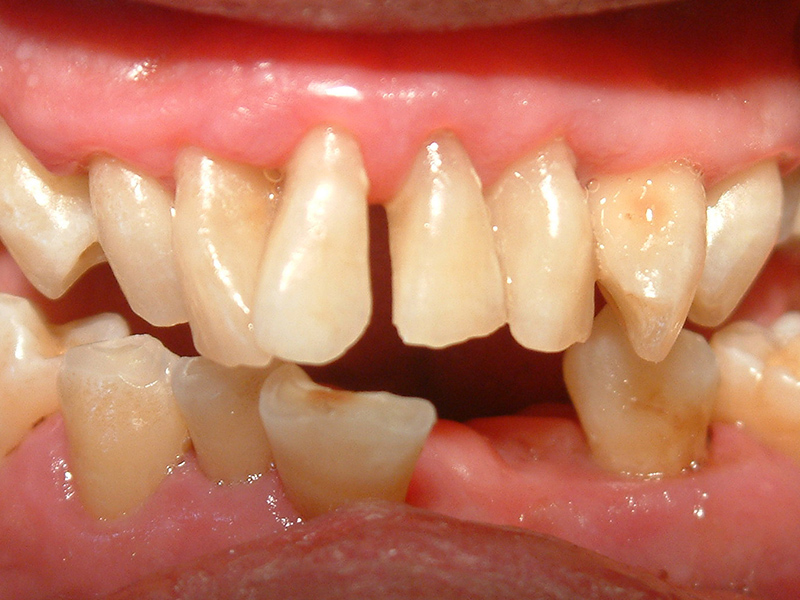
歯周病によるフレアアウト

  • 歯周病が進行すると、しばしば骨の支持が失われ、これが歯の位置や安定性に悪影響を与えることがあります。この状態を「フレアアウト」と称します。フレアアウトは歯周組織の強度が低下し、歯が適切に支えられなくなるために発生します。
    特に、治療を受けずに放置された歯周病の場合にこの症状が顕著になります。
    一般的な症状には、出っ歯(上前歯が前方に突出してくる状態)やすきっ歯(歯と歯の間に隙間ができる状態)が含まれます。
    これらの変化は外見上の問題だけでなく、かみ合わせの問題を生じさせ、これがさらに他の歯の健康問題につながる可能性があります。

  • フレアアウトの治療方法

    • 初期治療

      炎症を抑えるために、歯石と歯垢の除去を行います。これにはスケーリングやルートプレーニングが含まれます。

    • 外科的治療

      進行した歯周病には、歯肉の手術が必要になることがあり、これによって深いポケットの清掃が行え、歯肉の健康が改善されます。

    • 補綴的治療

      歯の位置やかみ合わせを調整するために、矯正治療や補綴装置(ブリッジやインプラントなど)の治療が検討されます。

  • 歯周病治療の受診をしましょう

    当院では、歯科医師が患者様の歯周病の状態を評価し、専門的なクリーニングと適切な治療を行います。適確な歯ブラシの使用、歯間ブラシやデンタルフロスを駆使し、薬用成分配合の歯磨き粉や洗口液を用いることで、歯周病の予防効果が期待できます。これにより、口腔内の細菌の繁殖を抑え、口臭の軽減にもつながります。

PAGE TOP